loading
Orale Chirurgie
Bei der oralen Chirurgie handelt es sich um ein Teilgebiet der Zahnmedizin, zu dem u.a. die Entfernung verlagerter Zähne und Kieferzysten, die operative Weisheitszahnentfernung sowie chirurgische, endodontische Behandlungen zählen.   Entfernung von Kieferzysten   Kieferzysten sind mit Flüs...
loading
Teil- und Vollprothesen
Zahnprothesen zählen zum herausnehmbaren Zahnersatz. Während bei einer Teilprothese noch Restzähne vorhanden sind, kann mit einer Vollprothese ein komplett zahnloser Kiefer ersetzt werden.   Teilprothesen können mit Klammern, Geschiebe oder Teleskop an den vorhandenen Zähnen befestigt werden. D...
loading
Füllungstherapie
Ziel jeder Füllungstherapie ist es, kariöse Defekte an den Zähnen zu beheben. Damit ein Zahn mit einer Füllung versorgt werden kann, müssen die kariösen Stellen im Vorfeld zahnsubstanzschonend entfernt werden. Danach kann die verbleibende Lücke mit dem gewünschten Füllungsmaterial bakteriendicht ver...
loading
Veneers
Bei Veneers handelt es sich um hauchdünne, lichtdurchlässige, keramische Verblendschalen, die in erster Linie der Zahnästhetik dienen. So können mit den Keramikschalen u.a. Verfärbungen, leichte Zahnfehlstellungen, kleine Lücken zwischen den Zähnen, abgebrochene Zahnecken oder auch ungleich große Zä...
loading
Parodontalbehandlung
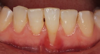
Parodontitis bezeichnet eine entzündliche Zahnfleischerkrankung, die durch bakteriellen Zahnbelag (Plaque) verursacht wird. Sie gehört zu den häufigsten Erkrankungen des Zahnhalteapparates und kann unbehandelt zu Zahnverlust führen.   Mithilfe einer individuell ausgerichteten Parodontalbehandlu...
loading
Fissurenversiegelung zur Kariesvermeidung
Als Fissuren werden jene Grübchen und Rillen bezeichnet, die sich auf der Kaufläche der Backenzähne befinden. Sind Fissuren zu tief oder zu eng, lassen sie sich schwer mit der Zahnbürste erreichen und bilden somit eine häufige Ausgangsstelle für zahnschädigende Bakterien (Karies).   Mithilfe de...
loading
Behandlung mit Knirscherschiene bei Bruxismus
Beim Bruxismus wird der Zahnhalteapparat aufgrund eines unbewussten, meist nächtlich auftretenden Zähneknirschens und das regelmäßige Aufeinanderpressen der Zähne stark überlastet. Die Folge sind u.a. Schmerzen im Kiefergelenk, Gesichtsschmerzen, einseitige Kopfschmerzen, Schwindel, Verspannungen im...
loading
Professionelle Mundhygiene
Mithilfe der Zahnprophylaxe kann Zahnerkrankungen effektiv vorgebeugt werden. Sie umfasst alle wesentlichen Maßnahmen zum Erhalt eines gesunden Zahnhalteapparates.   Hauptbestandteil der Prophylaxe ist neben der häuslichen Mundhygiene die professionelle Zahnreinigung (PZR). Zu Beginn der Mundhy...
loading
Bleaching
Der regelmäßige Genuss von Kaffee, Tee, Rotwein und Nikotin kann zu sichtbaren Zahnverfärbungen führen. Zudem können sich die Zähne auch im Rahmen des normalen Alterungsprozesses verfärben.   Weiße Zähne und ein strahlendes Lächeln prägen das äußere Erscheinungsbild eines Menschen und stehen fü...
loading
Inlays / Onlays
Bei Inlays und Onlays handelt es sich um sogenannte Einlagefüllungen, die nach einem Abdruck passgenau gefertigt und in den Zahn einzementiert oder eingeklebt werden. So können größere Zahndefekte und Kariesschäden formstabil und ästhetisch ansprechend behoben werden. Durch die Möglichkeit der zahnf...
loading
Zahnkronen und Zahnbrücken
Zahnkronen dienen als eine Art Schutzkappe und zählen zum festsitzenden Zahnersatz. Sie kommen meist dann zum Einsatz, wenn ein defekter Zahn aufgrund verloren gegangener Zahnsubstanz (u.a. durch Karies, Bruch oder Wurzelbehandlung) großteils rekonstruiert werden muss. Mit einer Krone kann der urspr...
loading
Implantologie
Mit Zahnimplantaten können sowohl einzelne, fehlende Zähne als auch ein komplett zahnloser Kiefer versorgt werden. Sie bestehen in der Regel aus reinem Titan, welches über eine hohe Biokompatibilität (biologische Verträglichkeit und somit auch für Allergiker geeignet) und lange Haltbarkeit verfügt....
Erweitertes Profil (entgeltlich). Aktualität, Richtigkeit und Vollständigkeit der Daten ohne Gewähr.